Visit Us 

8700 Menchaca Rd STE 102, Austin, TX 78748

We accept most major insurance plans and handle all the paperwork for you!

South Austin Dental Veneers

Dental Veneers scaled

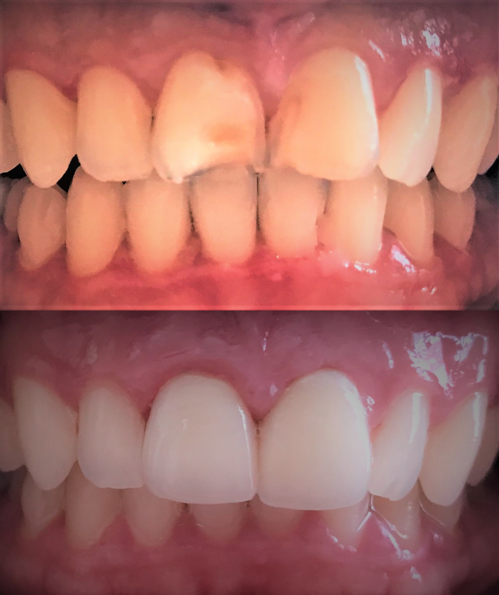
Before and After pictures of Smile and Confidence restoration

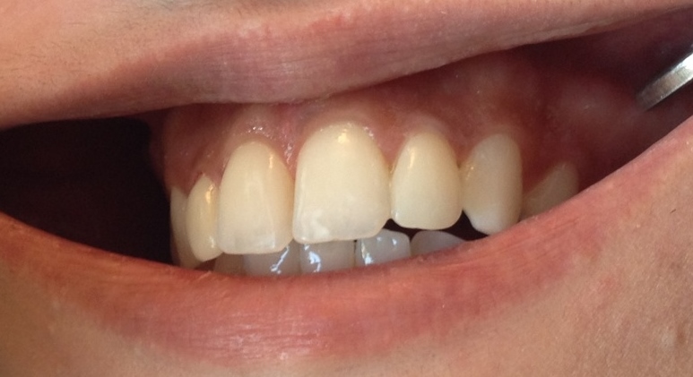
original front teeth fixed with veneers confidence restored 1
original image before
original image after

Made from a thin custom made shell, dental veneers cover the front surface of your tooth in order to improve their appearance. They are made of a tooth colored material and can be used to improve the color of teeth that have been worn down or stained. Another use for veneers is to improve the shape or size of the tooth.

Types of veneers:

There are two types of dental veneers commonly used in dentistry today. Made in a laboratory, Porcelain veneers help to create a very natural tooth look with excellent durability and resistance to stains. Composite resin veneers are not make in a laboratory and are applied directly to the teeth. They typically have a shorter life span, however, they are less expensive.

When should you consider dental veneers?

  • If your teeth are stained or discolored

  • If your teeth are crooked or misshapen

  • If your teeth have spaces between them

  • If your teeth are broken or chipped

How it’s done:

If you are planning on receiving porcelain veneers, you will need to schedule two appointments with your South Austin dentist. First, your teeth will be prepared to be fitted with a veneer by trimming a portion of the tooth so the veneer can be bonded on top. Then, an impression is taken of your tooth, which will be sent to the laboratory to prepare the final veneer. Finally, Dr. Sharma will fit you with a temporary veneer if a large amount of your tooth structure was removed. The temporary veneer will help to protect your tooth in between visits

At your second appointment, the final veneer will be received from the lab and your temporary veneer will be replaced with the final veneer. Any adjustments that need to be made for fitting will happen before the veneer is bonded to your teeth. Once you and Dr. Sharma are satisfied with the look and feel of the veneer, it will be permanently bonded to your tooth.

To read more about veneers and related cosmetic information, check out our helpful blogs!

How much do veneers cost?

Veneers typically range from $1,000-$1,200 per tooth, with flexible payment plans available through Cherry and Care Credit that can make your dream smile achievable for as little as $100 per month.